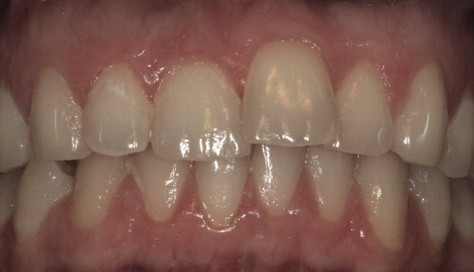
Faccette Dentali: Innovazioni Odontoiatriche per l’Estetica del Sorriso













Vantaggi delle Faccette Dentali

Materiali Utilizzati per le Faccette Dentali
Faccette Dentali in Ceramica
Le faccette in ceramica sono tra le più comuni e apprezzate per la loro resistenza e l'aspetto naturale. La ceramica è un materiale altamente stabile che resiste alle macchie e può durare molti anni con la giusta cura. Queste faccette offrono risultati estetici eccellenti.
Faccette Dentali in Resina Composita
Le faccette in resina composita sono una scelta più economica rispetto a quelle in ceramica. Sono un ottimo compromesso e possono essere riparate facilmente in caso di danni.
Faccette Dentali No-Prep
Le faccette no-prep non richiedono preparazione del dente. Questo significa che lo smalto naturale del dente non viene toccato. Quando il caso lo consente, questa rappresenta la migliore opzione perseguibile.
Procedura di Applicazione delle Faccette Dentali
La prima fase del processo prevede una consultazione iniziale con il dentista per discutere esigenze e aspettative. Il dentista esaminerà i denti e proporrà le opzioni disponibili, inclusi i materiali e il numero di faccette necessarie. Potrebbe essere necessario prendere delle impronte preliminari (analogiche o digitali) dei denti per pianificare il trattamento.
Dopo aver preso l'impronta digitale dei denti e la scannerizzazione 3D del volto del paziente, grazie a un software CAD avanzato, i due file vengono uniti. Da qua è possibile visualizzare e validare il progetto, per poi passare alla creazione di un mockup, ovvero un prototipo temporaneo dei nuovi denti.
Nella fase successiva, i denti vengono preparati per l'applicazione delle faccette. Questo implica la rimozione di una minima quantità di smalto dalla superficie anteriore dei denti per fare spazio alle faccette. Per le faccette no-prep, questa fase è inesistente.
L'odontotecnico, con le impronte dentali, realizzerà le faccette. Quando saranno pronte, il dentista le posizionerà temporaneamente per verificarne l'adattamento e l'estetica. Una volta soddisfatti del risultato, le faccette verranno fissate permanentemente ai denti con un cemento dentale specifico.
Dopo l'applicazione delle faccette, potrebbe essere necessario un appuntamento di follow-up per verificare che tutto sia in ordine. È importante mantenere una buona igiene orale e recarsi regolarmente dal dentista per garantire la longevità delle faccette.
1. Prima Visita: Consultazione e Pianificazione
2. Visualizzazione Estetico Digitale e Mockup
3. Preparazione dei Denti
4. Realizzazione e Applicazione delle Faccette
5. Follow-up e Manutenzione
FAQ Faccette Dentali
Le Faccette Dentali Sono Dolorose?
L’applicazione delle faccette non è un trattamento doloroso.
Durante la preparazione dei denti, potrebbe essere utilizzata un’anestesia locale per garantire il comfort del paziente.
Quanto Durano le Faccette Dentali?
Le Faccette Dentali Possono Essere Rimosse?
Rischi o Complicazioni nell’utilizzo delle faccette dentali?
Le vostre Faccette Dentali
Dopo My-Dentity
Prima di My-Dentity
Dopo My-Dentity
Prima di My-Dentity
Dopo My-Dentity
Prima di My-Dentity
