Sbiancamento Dentale
Lo sbiancamento dentale è una procedura odontoiatrica molto diffusa che mira a migliorare l'aspetto estetico del sorriso rendendo i denti più bianchi e luminosi rimuovendo le pigmentazioni intrinseche che possono penetrare all’interno dello smalto. Esistono diverse tipologie di sbiancamento dentale.

Tipologie e Benefici dello Sbiancamento Dentale



Sbiancamento Cosmetico
Lo sbiancamento cosmetico è la procedura più comune e mira a migliorare il colore dei denti naturali rendendoli più bianchi. Questo tipo di sbiancamento è ideale per chi desidera un sorriso più luminoso senza particolari problematiche di discromia. Viene solitamente effettuato con gel a base di perossido di idrogeno o di carbamide, che liberano molecole di ossigeno quando entrano in contatto con i denti, disgregando le macchie superficiali. Il principale beneficio dello sbiancamento dentale è il miglioramento estetico del sorriso. Denti più bianchi e luminosi possono aumentare la fiducia in se stessi e migliorare l'aspetto generale del viso.

Sbiancamento per Discromie Severe
In alcuni casi, lo sbiancamento dentale viene utilizzato per trattare discromie severe causate da patologie come la fluorosi o da terapie farmacologiche con antibiotici, come le tetracicline. Queste discromie possono essere più difficili da eliminare e richiedono l'uso di concentrazioni più elevate di perossido di idrogeno o di carbamide e tecniche specifiche.
Efficacia e Durata del Trattamento di Sbiancamento Dentale
L'efficacia del trattamento sbiancante dipende da diversi fattori, tra cui il tipo di discromia e la concentrazione dell'agente sbiancante utilizzato. In generale, i risultati dello sbiancamento dentale possono durare da sei mesi a due anni, a seconda delle abitudini di igiene orale del paziente e del consumo di alimenti e bevande che possono macchiare i denti, come caffè, tè e vino rosso.

Limitazioni dello Sbiancamento Dentale
Efficacia su Materiali da Restauro
È importante notare che lo sbiancamento dentale agisce solo sui denti naturali e non sui materiali da restauro come corone, otturazioni o faccette. Pertanto, se un paziente ha restauri dentali visibili, potrebbe essere necessario sostituirli dopo il trattamento sbiancante per garantire un colore uniforme.
Sensibilità Dentale
Un altro possibile effetto collaterale dello sbiancamento dentale è la sensibilità dentale. Alcuni pazienti possono sperimentare una maggiore sensibilità al freddo durante e dopo il trattamento. Questo effetto è generalmente temporaneo e può essere gestito con prodotti specifici per la sensibilità dentale.
Sbiancamento Dentale: FAQ
Quanto dura l'effetto dello sbiancamento dentale?
L’effetto dello sbiancamento dentale può durare da sei mesi a due anni, a seconda delle abitudini di igiene orale e del consumo di alimenti e bevande che possono macchiare i denti.
Lo sbiancamento dentale è sicuro?
Sì, lo sbiancamento dentale è sicuro quando eseguito sotto la supervisione di un odontoiatra. Tuttavia, è importante seguire le indicazioni del professionista e non eccedere nelle applicazioni per evitare danni allo smalto dentale.
Posso sbiancare i denti se ho otturazioni o corone?
Lo sbiancamento dentale non agisce sui materiali da restauro come otturazioni, corone o faccette. Se hai restauri visibili, potrebbe essere necessario sostituirli dopo il trattamento sbiancante per ottenere un colore uniforme.
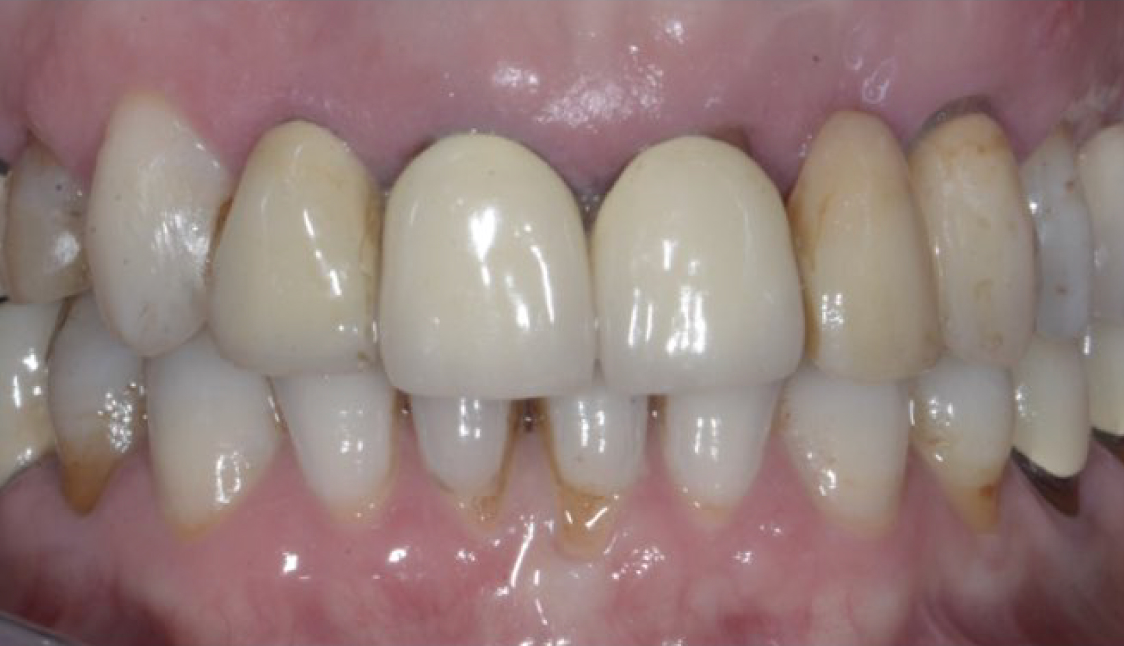
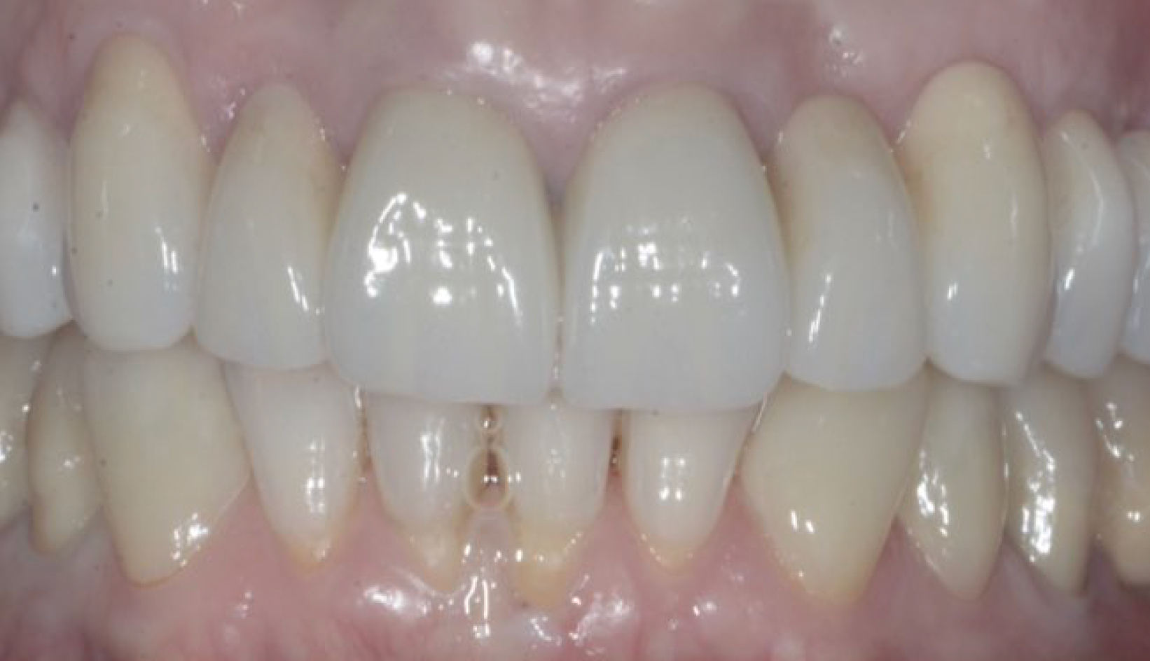
I vostri Sbiancamenti Dentali
combinati con altri trattamenti
Dopo My-Dentity
Prima di My-Dentity
Dopo My-Dentity
Prima di My-Dentity
Dopo My-Dentity
Prima di My-Dentity
Prenota Ora il tuo Sbiancamento Dentale
Non aspettare oltre per ottenere il sorriso che hai sempre desiderato. Prenota il tuo appuntamento presso My-Dentity e scopri come il nostro trattamento di Sbiancamento Dentale può trasformare il tuo sorriso in modo rapido e confortevole. Contattaci oggi stesso per una consulenza personalizzata e inizia il tuo percorso verso un sorriso sano e bello.
