Odontoiatria Conservativa

Le Procedure di Odontoiatria Conservativa
Rimozione della Carie
Otturazioni Dentali
Vantaggi dell'Odontoiatria Conservativa
Estetica Migliorata
Uno dei principali vantaggi dell'odontoiatria conservativa è l'aspetto estetico. I materiali moderni come i compositi permettono di ottenere otturazioni dello stesso colore del dente, rendendo le riparazioni praticamente invisibili. Questo è particolarmente importante per i denti anteriori, dove l'estetica gioca un ruolo cruciale.
Conservazione della Struttura Dentale
Preservare la struttura dentale naturale è fondamentale per mantenere la salute a lungo termine dei denti. L'approccio minimamente invasivo dell'odontoiatria conservativa riduce al minimo la rimozione di tessuto sano, mantenendo la forza e la durabilità del dente.
Riduzione del Rischio di Complicazioni
L'odontoiatria conservativa, grazie alla sua filosofia di minima invasività, riduce il rischio di complicazioni post-operatorie. Meno tessuto viene rimosso, minore è il rischio di fratture o altre problematiche che potrebbero insorgere nel tempo.
Tecniche Avanzate in Odontoiatria Conservativa: Diagnosi Digitale
Prevenzione delle Carie Dentali
Igiene Orale Quotidiana
La prevenzione è sempre il miglior trattamento. Mantenere una buona igiene orale quotidiana, spazzolando i denti almeno tre volte al giorno e usando il filo interdentale, è essenziale per prevenire la formazione di carie. L'uso di dentifrici al fluoro e collutori antibatterici può ulteriormente ridurre il rischio di carie.
Dieta Equilibrata
Una dieta equilibrata, povera di zuccheri e ricca di nutrienti, aiuta a mantenere i denti sani. Evitare spuntini frequenti e bevande zuccherate può prevenire la formazione di placca e ridurre il rischio di carie.
Visite Regolari dal Dentista
Le visite regolari dal dentista sono cruciali per la prevenzione delle carie. Il dentista può individuare precocemente segni di carie e intervenire tempestivamente con trattamenti conservativi, evitando interventi più invasivi in futuro.
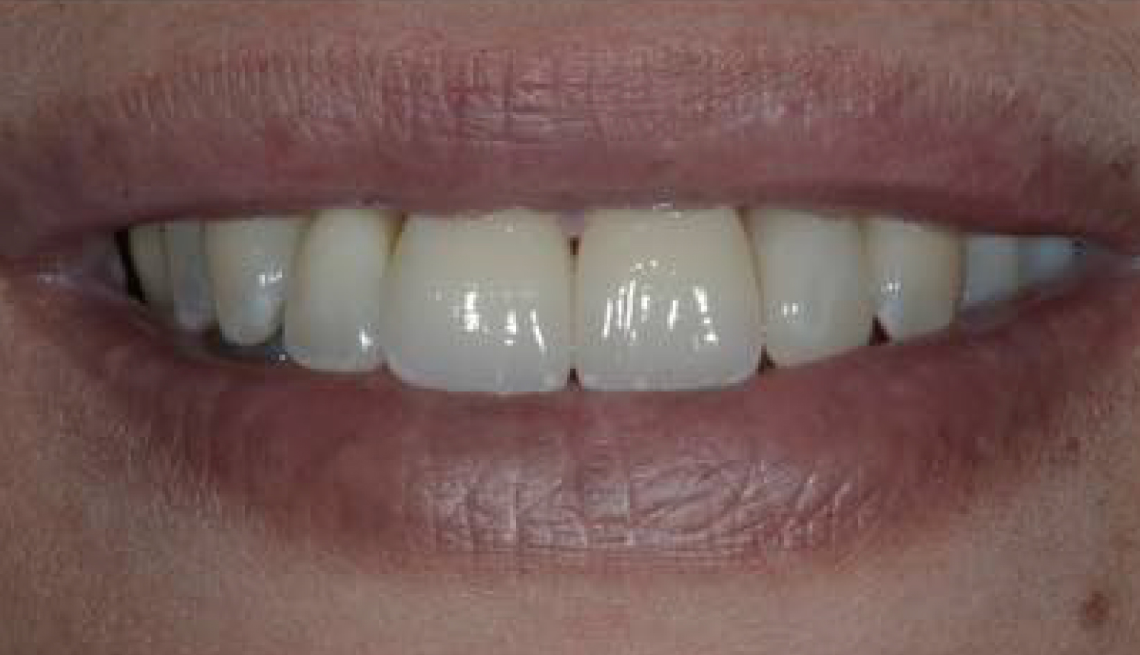
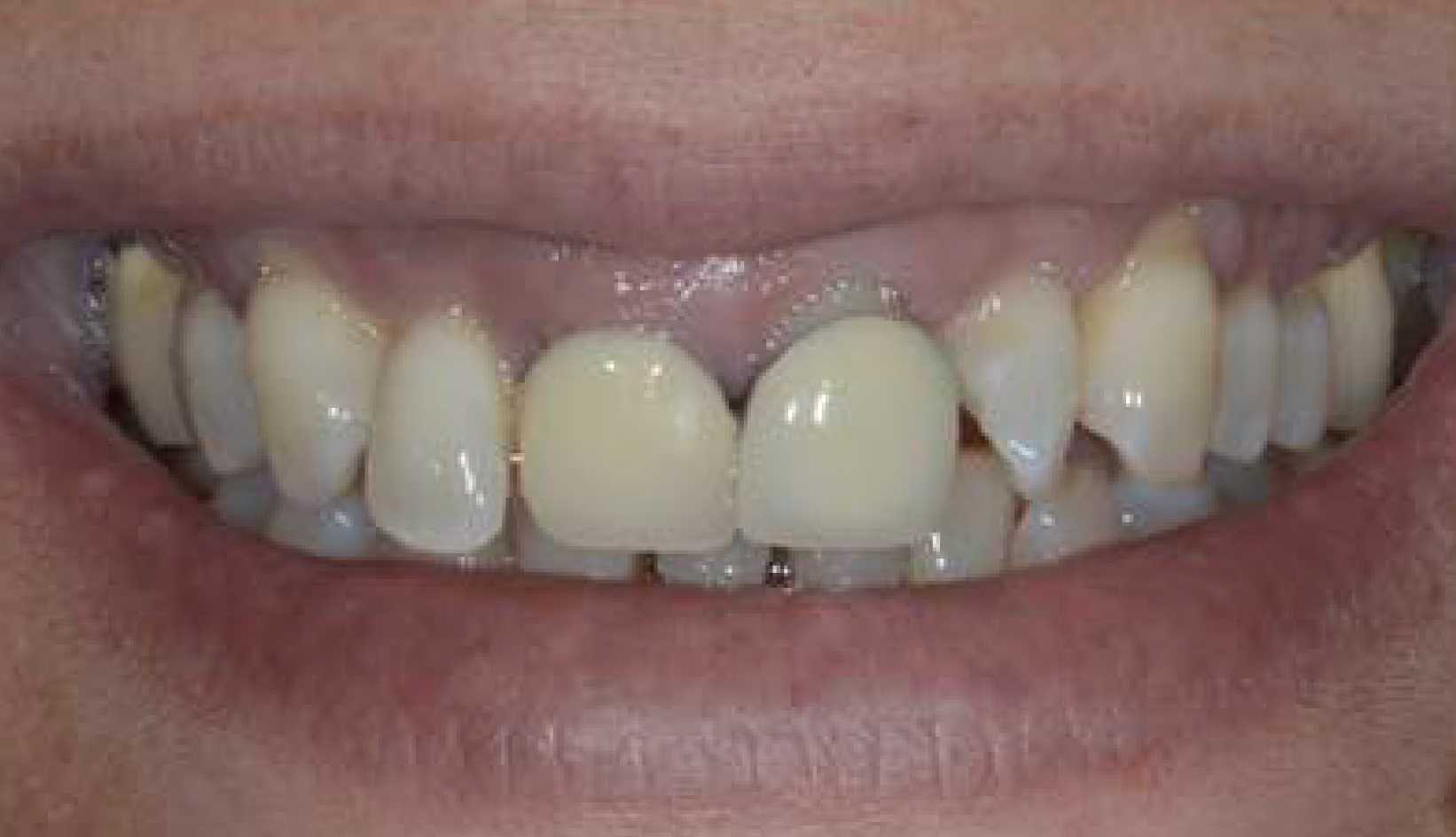
Prima e Dopo l'Odontoiatria Conservativa
Dopo My-Dentity
Prima di My-Dentity
